
헤르페스란
대표적인 감염성 질환 중 하나로 헤르페스 바이러스에 의해 발생하는 감염병입니다.
바이러스에 감염되면 피부와 점막에 물집(수포)을 생기게 합니다.

헤르페스 원인
헤르페스 바이러스는 DNA바이러스로 건조하거나 상온에 노출되면 비활성화되어 공기를 통해서는 잘 전염되지 않습니다. 주로 감염된 사람과 접촉하여 체액이나 물집(병변)에 감염이 될 수 있습니다.
한번 감염이 되면 물집이 사라져도 바이러스는 몸에 남아 잠복하고 있는데, 스트레스, 염증, 면역 저하, 외상과 같은 유발요인이 발생하면 재발하여 증상(수포)을 일으키게 됩니다.
헤르페스 증상
입술 헤르페스
1형 단순포진 바이러스에 의한 재발 감염 중 가장 흔한 형태는 입술과 피부 경계에서 발생하는 수포입니다. 또한 코, 턱, 뺨 또는 구강 점막에서도 발생할 수 있습니다. 수포가 생기기 전에는 통증, 가려움증, 화끈거림 등이 나타납니다. 이러한 증상이 나타난 후 수포가 발생하며, 6~10일 사이에 완전히 회복되며 흉터가 남지 않습니다.

피부 감염
헤르페스 손발톱주위염(herpetic whitlow)
건강한 아이가 피부에 상처가 생긴 뒤 바이러스에 노출되면 피부 감염이 발생할 수 있습니다.
헤르페스 손발톱주위염이라고 하는데 손가락, 발가락에 발생한 헤르페스 감염으로 손가락을 빠는 어린 영유아에서 흔히 발생합니다.
주로 손톱과 피부 경계부에 여러 개의 수포가 생기면서 홍반과 부종이 생기고 통증이 있습니다. 2차 감염이 생기지 않도록 상처를 절개하지 않도록 해야 합니다. 보통 18~20일 사이에 자연회복이 되지만 필요할 경우 항바이러스제를 투여할 수 있습니다.

포진상 습진(eczema herpeticum)
습진이 있는 피부가 헤르페스 바이러스에 감염되면, 광범위하게 수포가 발생하여 포진상 습진이 될 수 있습니다. 이런 경우에는 다발성 수포가 생기는데 아토피 피부염, 지루성 피부염, 옴, 천포창 등의 피부염 환자에서도 발생할 수 있습니다.

급성 구강 인두감염
1형 단순포진 바이러스로 인한 일차 감염은 보통 구내염이나 인두염으로 나타납니다. 이러한 감염은 주로 6개월에서 5세 사이의 영아 및 소아에서 발생하며, 갑작스러운 심한 구강 통증과 40°C 이상의 고열이 동반됩니다. 수포가 입술, 혀, 구강점막 등에 생길 수 있으며, 이 수포가 일찍 궤양으로 변할 수 있어 발견되지 않는 경우도 있습니다. 이러한 감염에는 경부 림프절 비대가 동반될 수 있으며, 증상이 치료되지 않아도 일반적으로 7~14일 사이에 회복됩니다. 그러나 림프절 비대는 몇 주간 지속될 수 있습니다. 학령기 소아, 청소년 및 성인에서는 구내염보다 인두염이나 편도염으로 나타날 가능성이 높습니다. 이 경우에는 열, 피로감, 두통, 인후통 등의 증상과 함께 인두와 편도에 수포가 생기며, 수포는 곧 터져서 삼출물을 동반한 궤양으로 변합니다.

생식기 헤르페스
성경험이 있는 청소년이나 젊은 성인에서 주로 발생하는 바이러스 감염으로, 1형과 2형 바이러스 모두 감염될 수 있지만, 약 90%의 감염자는 증상이 없습니다. 일차 감염 시에는 생식기 부위 통증, 가려움, 화끈거림 등이 발생하며, 많은 수포가 생긴 후 궤양으로 변합니다. 이 바이러스 감염을 앓은 경우 대부분 1회 이상 재발하며, 재발 시에는 일차 감염보다 증상이 가벼우며 지속기간도 짧습니다. 2형 바이러스는 생식기 분비물을 통해 배출되어 성접촉을 통해 전파되거나, 산모로부터 신생아에게 전파될 수 있습니다.
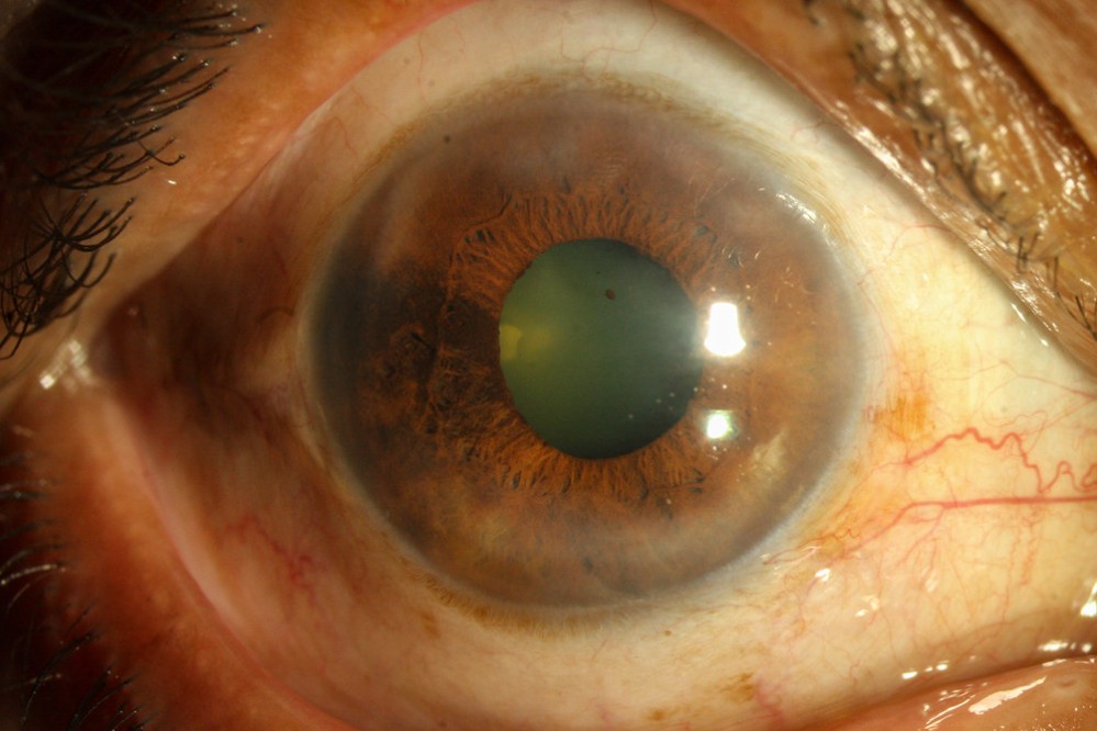
눈 감염
헤르페스 바이러스 감염은 눈의 결막 또는 각막에 일차 감염 및 재발 감염이 발생할 수 있습니다. 결막염 또는 각결막염은 주로 한쪽 눈에 발생하며 눈꺼풀 경계 또는 눈 주위 피부에 수포가 생길 수 있습니다. 반복되는 재발 감염은 각막을 손상시켜 시력을 잃을 수 있는 위험이 있습니다.

중추신경계 감염
바이러스는 뇌에도 감염될 수 있습니다. 발열, 두통, 구토, 경련 등의 증상이 나타날 수 있어요. 또한, 행동 변화, 기억력 감퇴, 언어 장애 등의 증상도 나타날 수 있습니다. 이 경우 치료하지 않으면 생명에 위협을 끼치고, 치료 후에도 장기적인 후유증이 남을 수 있습니다.
헤르페스 치료
헤르페스 바이러스 감염은 대부분 자연치유되며 치료가 필요하지 않을 때도 있습니다. 그렇지만 증상이 지속되거나 합병증이 동반될 경우에는 항바이러스제 치료가 필요합니다.
가장 많이 사용되는 항바이러스제인 아시클로버이며 이외에도 발라시클로버, 팜시클로버 등 다양한 항바이러스제가 있습니다. 안약으로는 트리플루리딘, 이오도디옥시우리딘, 비다라빈 등이 사용됩니다.

아시클로버(acyclovir)
가장 많이 사용되는 항바이러스제인 아시클로버는 1, 2형 복제를 강력하고 선택적으로 억제하며 정맥주사, 경구 및 국소투여 등 다양한 방법으로 사용될 수 있습니다. 음부 단순포진에서는 정맥주사 및 경구투여가 모두 효과적이며, 전신성 또는 심한 단순포진 감염에서는 정맥주사가 권장됩니다.
하지만 아시클로버는 잠재성 감염에는 효과가 없으며 일부 환자에서는 독성 반응이 발생할 수 있습니다.
아시클로버 크림

아시클로버 부작용 및 주의 사항
아시클로버와 같은 항바이러스 약물의 일반적인 부작용은 메스꺼움과 설사입니다.
그러나 드물게 신장 문제나 혈소판 감소 문제와 같은 심각한 부작용이 발생할 수 있습니다. 특히 간이나 신장 기능이 약한 사람은 사용 전 의사와 상담하여야 합니다.
아시클로버는 임신부와 모유 수유 중인 여성에게 일반적으로 안전하다고 알려져 있습니다. 그러나 이 경우에도 의사와 상담하고 사용해야 합니다.
헤르페스 예방
현재까지 헤르페스 바이러스 감염을 예방할 수 있는 백신은 개발되어 있지 않습니다.

바이러스 전파를 예방하기 위해서는 손 씻기와 병변이나 분비물에 대한 접촉을 피하는 등의 예방 수칙을 지켜야 합니다.
또한 생식기 헤르페스의 경우, 콘돔 사용으로 전파를 감소시킬 수 있습니다. 또한 분만 직전에 활동성 생식기 감염이 있는 경우에는 제왕절개술로 분만하는 것이 권장됩니다.
댓글